ホワイトニング | 銀座の根管治療歯科・A歯科タニグチ会
医療法人社団A歯科タニグチ会

東京の歯医者・根管治療・噛み合わせ治療・親知らずの移植なら短期集中治療のタニグチ歯科

  1. 銀座の根管治療歯科・A歯科タニグチ会
  2. 治療の種類
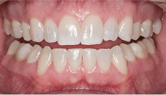
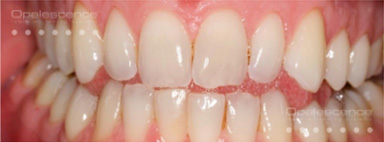
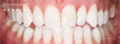
  3. ホワイトニング

ホワイトニング

使用する薬剤について

当医院使用のホワイトニング薬剤はオパールエッセンスBOOSTを使用しております。
35%過酸化水素を使用いている為、ホワイトニング効果を得られやすい上、使用するジェルはpH 7.5とほぼ中性のため、歯質の脱灰リスクが低いとされています。また、水分量を多く含むためエナメル質の脱水を防ぎ、知覚過敏を起こしにくいとされています。
ホームホワイトニングの薬剤はオパールエッセンス10%過酸化尿素が主成分です。 知覚過敏の症状がある方はホームの低い濃度で時間をかけて行う事ができます。 過酸化水素は、酸化力に基づく漂白作用、脱臭作用があるためホワイトニングに応用されています。
歯の表面にホワイトニング剤を塗ることで、ホワイトニング剤の成分が歯に浸透する と、歯そのものの色を決めている色素を分解していきます。
この化学反応で歯が白くなります。

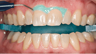
オフィスホワイトニング

オフィスホワイトニングは、短時間で効果を実感できることから、時間をかけたくない!という方におすすめのホワイトニング方法。
大きなイベント前や、時間に制限がある方におすすめです。

オフィスホワイトニング施術方法

STEP1

お口の状態と、歯の色調を確認

STEP2

ホワイトニング材を塗布する準備をします。
歯肉保護などを行います。

STEP3

ホワイトニングジェルの塗布を行います。

STEP4

歯の色調の変化を歯科医師と確認します。



ホームホワイトニング

医院でご自身専用のマウスピース (カスタムトレイ) を作成し、
ご自宅でホワイトニング材をトレイに入れてホワイトニングを行う方法です。

ホームホワイトニング施術方法

STEP1

カスタムトレイ上の対象歯に一本線を描くようにジェルを注入します。

STEP2

カスタムトレイに適切にジェルが注入できていることを確認し、トレイを装着します。

STEP3

余分なジェルは柔らかい歯ブラシやティッシュ等で除去しましょう。

STEP4

トレイ装着後は、口の中を水で十分にすすぎ、必要に応じて歯ブラシ等でジェルを除去します。カスタムトレイも同様に、歯ブラシ等でジェルを洗い流してください。

まずは、お悩みを
ご相談ください

完全予約制
自由診療専門

お電話にて、
お気軽にお問い合わせください。

他の歯科で、抜歯と言われて困っている

他の歯科で、抜歯と言われて
困っている

短期間で治療を終わらせたい

短期間で治療を
終わらせたい

歯にひびが入っているけど、歯を残したい

歯にひびが入っているけど、
歯を残したい

お電話でのお問い合わせ

03-6260-6116

受付時間
9:00~16:30(木・日・祝日除く)