歯のひびや破折の修復(再植) | 銀座の根管治療歯科・A歯科タニグチ会
医療法人社団A歯科タニグチ会

東京の歯医者・根管治療・噛み合わせ治療・親知らずの移植なら短期集中治療のタニグチ歯科

  1. 銀座の根管治療歯科・A歯科タニグチ会
  2. 治療の種類
  3. 歯のひびや破折の修復(再植)

歯のひびや破折の修復(再植)

ひびや破折を発見したら歯を抜かずに修復

歯がひび割れることを、学術的には「破折(はせつ)」と言います。歯にひび割れがあると、ひびから口の中の細菌が入り込み、炎症を起こします。発見が遅れると抜歯を薦められる状態になることが多いため、早期発見・早期治療が大切です。

ひびや破折を発見したら歯を抜かずに修復

歯のひび割れにはいろいろなケースがあります。歯の頭の部分(歯冠)にひびがある場合や、歯の根(歯根)にひびがある場合、浅いひびや深いひびなど様々です。また、突然大きなひび割れが起こるケースは少なく、小さいひびが徐々に時間をかけて大きくなる場合がほとんどです。

ひびは、大きくなる前に早期に発見し治療を行うことで、歯を残せる可能性が高くなりますが、レントゲンや目視では発見できない場合が多く、CT撮影をした際に歯にひびが見つかり、そのまま抜歯をしてしまったという話をよく耳にします。

当院では、マイクロスコープで目に見えない小さなひびを早期に発見し、ひびを修復することができます。

ひびはやがて虫歯や歯周病へ進行

ひびは放っておくと徐々に大きくなり、やがてそこから細菌が入りこんで虫歯や歯周病へと進行していきます。虫歯や歯周病を防ぐためにも、ひびを早期に発見して治療を行うことが大切です。

ひびや破折の発見が遅く、感染が広範囲まで広がっており組織がダメージを大きく受けている場合は、周囲の骨の回復がままならず抜歯となる可能性もあります。

当院では、大切な歯を守るためにマイクロスコープを積極的に使用し、治療を行っています。

歯の再植治療について

そもそも歯科医院で抜歯と言われる歯というのは

  • 重度の歯槽膿漏
  • 根っこにまで達する虫歯
  • 歯にヒビが入っている、または完全に割れてしまっている

が大半を占めます。

どの場合でも歯と骨の関係から保存の難易度が変わってきますが、特に骨に問題がなかったとしても抜歯とされてしまうのが3のヒビや歯が割れてしまっている状態です。
これには理由があり、ヒビから入ってきた細菌を口の中では完全に取り除くことが出来ないためヒビを塞ぐような処置をしたとしても時間経過と共に炎症が広がっていってしまうからです。
私自身も昔は何とか残そうと口の中からの処置で保存を試みましたがやはり結果は良いものではありませんでした。
そこで治療法として出てきたのが『再植』です。

この治療はどのような治療かというのを簡単にまとめると

  • 一旦は抜く
  • 口の外でヒビ、または割れている面を綺麗にして、特殊な接着剤でくっつける
  • 再び口の中に戻す

この流れを2時間程度で行います。

この治療により口の中でやるより確実に細菌の除去と接着をしっかりと行えるようになります。
実際再植をやってからはヒビや割れている歯に対しての治療の予後は大幅に上がっています。

それ以外にも、

  • 一回で一気に治療が進む
  • 処置している時は抜いて外で治療しているので患者さんは口を開けっ放しにしている時間が短い

といった利点があります。

ヒビの治療は難しいので長い時間を取っても複数回かかってしまう事があったり、治療時間が長い分口を開けている時間も長くなるので処置中から処置後にかけて顎の疲れや痛みを伴う事が多いのですがそれが一回で、さらにお口も抜く時と戻す時のみ開けて頂くだけなので顎への負担が少なく疲れもありません。

逆に欠点も当然あります。
それはたった一つ

  • 不安になる

この治療を説明するにあたって皆さんから頂く質問が
「一回抜いた歯って戻るんですか?」
「ちゃんと戻ったところでくっつくんですか?」
「今まで聞いた事ない治療なのでどうしても心配で・・・」
と言ったものがほとんどです。抜いて終わってしまう事が多い今の歯科治療の中で‘戻す’という考えはあまりないので聞かない治療というのもその通りだと思います。次にその後の流れについても説明したいと思います。
この治療は終わった後もすぐ噛めるようになるわけではなく、しばらく様子を見なければならない時期があります。

おおよその流れを簡潔に記したいと思います。

  • 処置後一週間〜十日で消毒、抜糸、歯ブラシチェック
  • 歯ブラシの状態を確認しながら四ヵ月間経過観察
  • 仮歯を入れて二ヶ月間使って頂く
  • 本歯へ

と言った感じになります。

最初の四ヶ月間は仮歯も入っていないので噛むことはできません、とにかく回復に努めます。その後は二ヶ月間仮歯で噛むことによってリハビリとし、問題なければ最終的な被せ物へと移行していきます。全行程で最短半年と期間をいただきますがしっかり回復を確認した上で進めていく治療となります。

最後に被せ物が入った後におけるとても大切な点をあげたいと思います。それはその後のケアと日々の使い方です。虫歯や歯槽膿漏から守るケアというのは他の歯に関しても同じですが、もう一つ大事なのはいたわって使っていくということです。
他院で抜歯と言われた歯を時間と費用をかけて使えるようになっていくわけですからその後も注意して使っていって頂きたいです。
そうすることによって長く安定した予後が見込めるようになります。

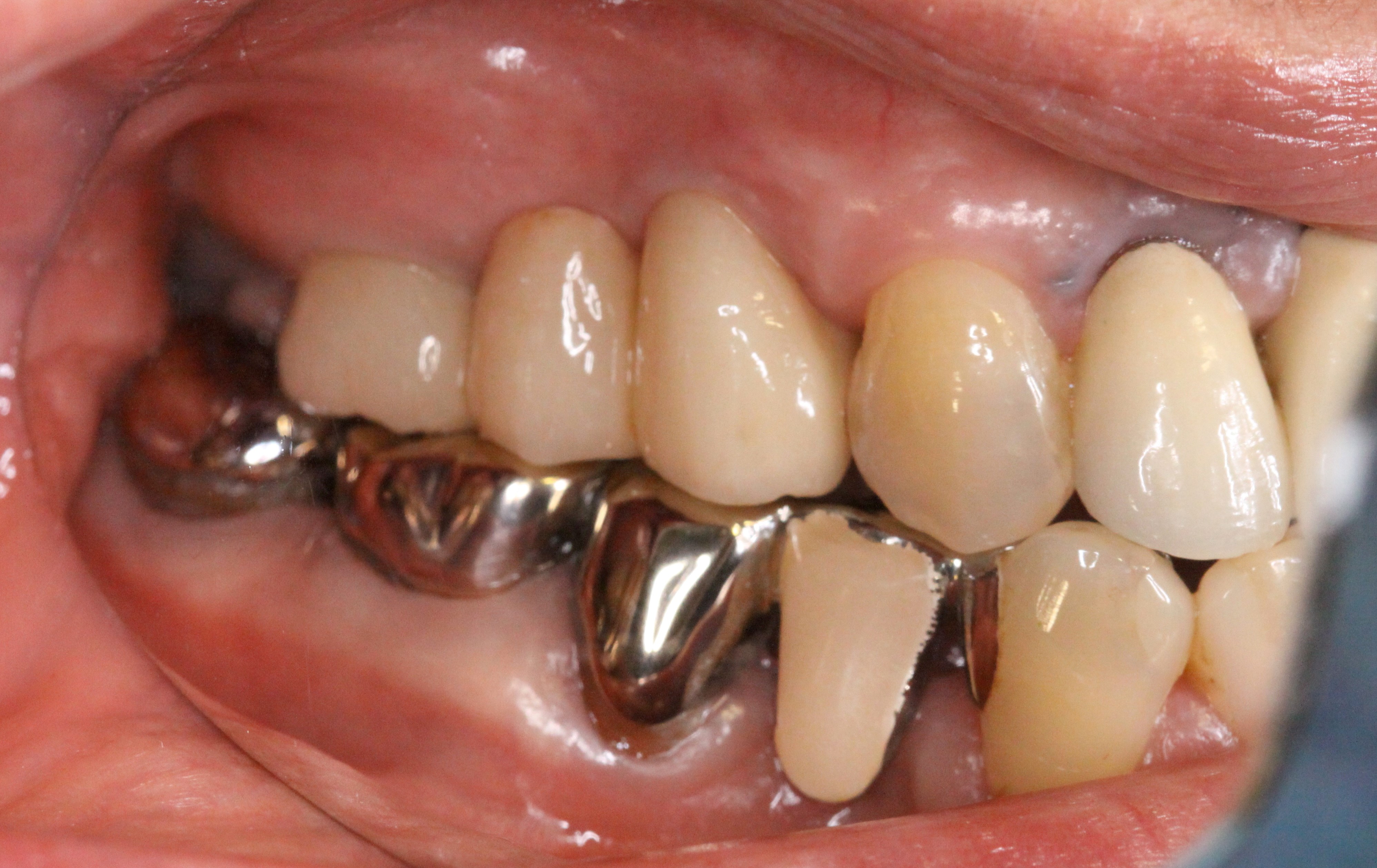
治療前

治療前
治療前

 

治療途中

治療途中

 
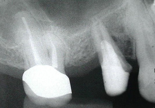
左のX線の矢印で示してある歯が割れていたので、一旦歯を抜いてきれいにしました。

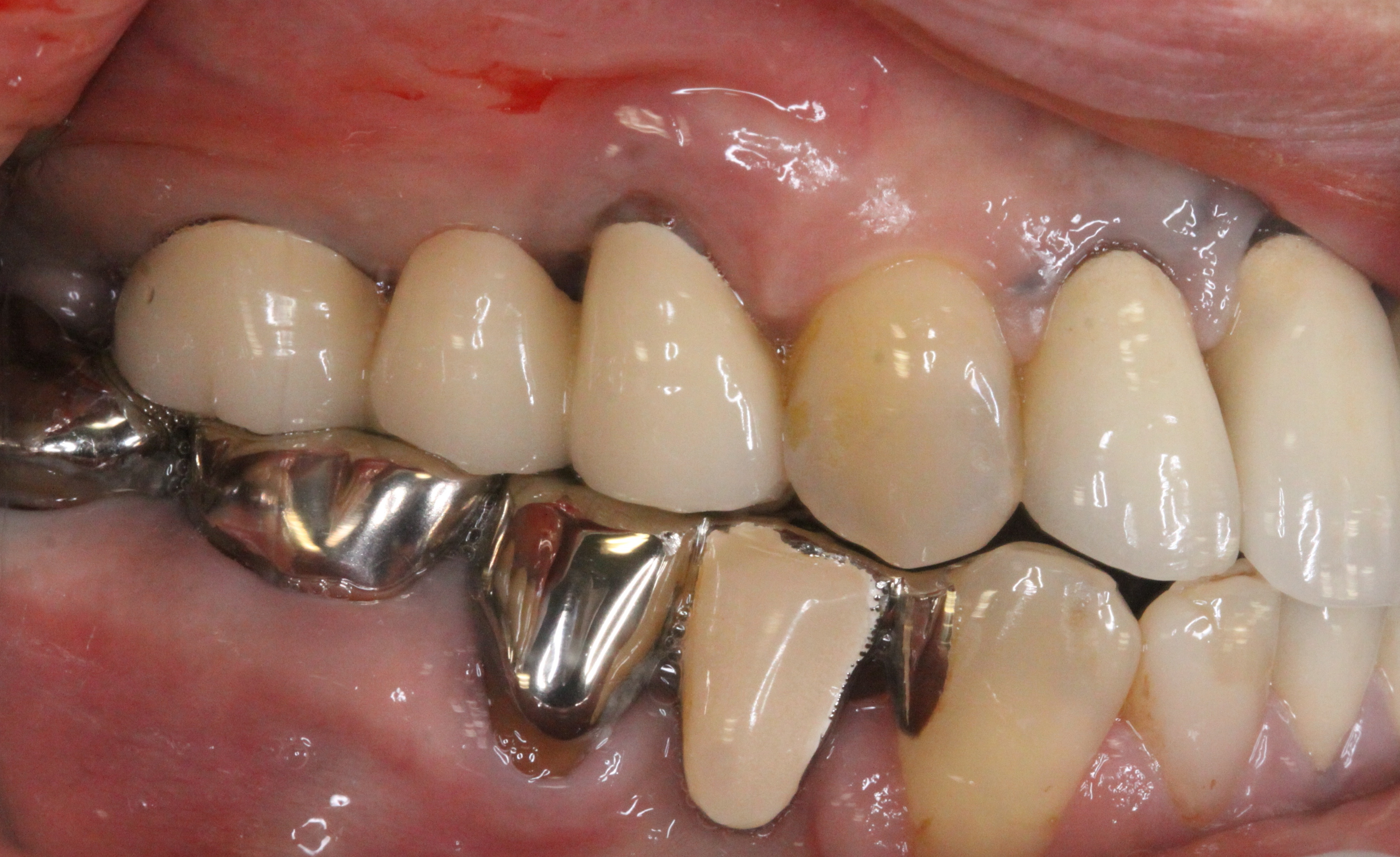
修復後

修復後


きれいにした後に、修復をして元に戻しました。

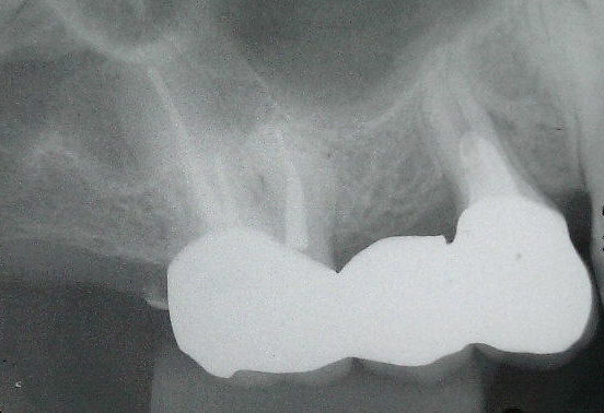
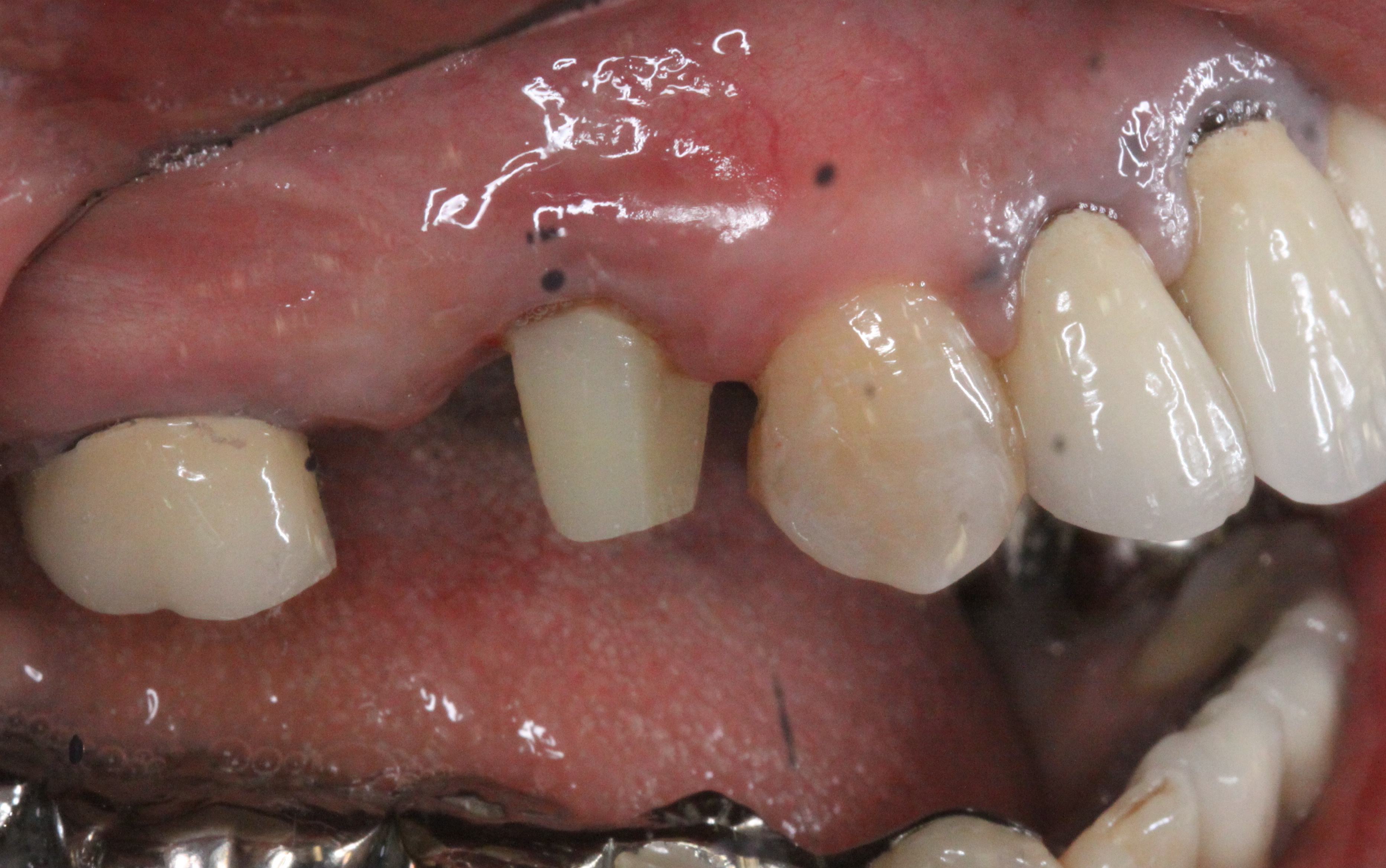
再植後

治療前
再植後

 

補綴後

治療途中
補綴後
再植後、4~6か月程経過を見て骨や歯茎の状態が良くなってきたところで被せ物を入れていきます。

まずは、お悩みを
ご相談ください

完全予約制
自由診療専門

お電話にて、
お気軽にお問い合わせください。

他の歯科で、抜歯と言われて困っている

他の歯科で、抜歯と言われて
困っている

短期間で治療を終わらせたい

短期間で治療を
終わらせたい

歯にひびが入っているけど、歯を残したい

歯にひびが入っているけど、
歯を残したい

お電話でのお問い合わせ

03-6260-6116

受付時間
9:00~16:30(木・日・祝日除く)