歯牙移植
移植治療について
様々な治療を施しても治癒せず泣く泣く抜歯なければならなくなった部位や、すでに他院にて抜歯されてしまい歯がなくなっている所は従来であれば上記の入れ歯、ブリッジ、インプラントによる被せ物で歯を補わなければなりません。ですが歯牙移植であれば眠っている親知らずや使われていない歯であれば移植することによって再利用が可能となります何よりご自身の生まれ持った歯を使うので他の治療法にはないメリットがとても大きいです。
歯の移植について
移植に関しては歯茎を開いたり、骨を削って調整して歯を入れるので数日の間、腫れや痛み、出血を伴う可能性があります。
治療前
「大きな虫歯で残せないから抜いてインプラントだね」と言われ抜歯までされた方が、移植を希望して来院されました。
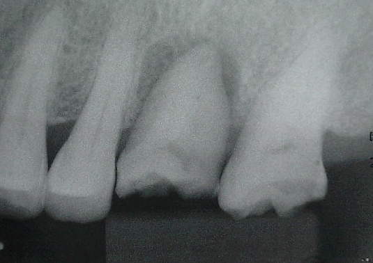
移植後
左下の親知らずを移植。
数週間開けて根管治療を行います。
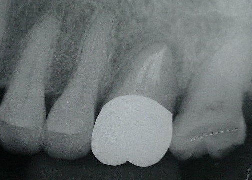
補綴後

数カ月経過観察後、状態も良くなってきたところで被せ物を入れました。
(X線より周りの骨も回復してきたのが分かる)



