歯牙移植
「自分の歯」を活かす
「移植」という究極の治療法

一般的な歯医者の中には、治療をくり返し行った挙げ句、「もう歯の寿命ですね」などと神妙な顔つきで抜歯を薦めてくることがあります。虫歯がひどい、歯周病が進行して歯がグラグラだと言って、とにかくすぐ歯を抜こうとします。我々からすれば彼らが虫歯を作り、骨が溶ける原因を作っているのではないかと思うぐらいです。
それもこれも単に歯を残す努力をするよりも、とりあえず抜いてブリッジや入れ歯を入れた方が楽で、そして何より保険点数が高いからなのでしょう。そこでインプラントを薦めるようなら、自由診療によるカネ目当てなんじゃないかと疑いたくもなります。
残念なことに駆け込み寺のA歯科には、そんな歯医者によってすでに歯を抜かれてしまった方がよくお見えになります。 とは言ってもやはり、『99%は、ほかの歯医者で抜くといわれた歯を抜かずにすむということは、1%は抜くこともあるということだ』("私は「初診料十万円」の歯医者です")と清師匠も言っているように、A歯科でもどうしても残せない場合もあるのです。
ですが他の歯医者と違い、A歯科の場合は年に1~2本とはいえ、泣く泣くの抜歯を行うケースもあります。この違いには、天と地ほどの隔たりがあるのです。
より長く自分の歯で噛むための秘策
そんな中A歯科では、より長く自分の歯で噛んでいただくために、可能な場合歯の移植をお薦めするようにしています。
インプラントが人工歯根なら、自家歯牙移植はまさに天然歯根なのです。
移植では一般的に親知らずを使います。例えば6番目の歯が抜けてしまった(大概は抜かれてしまっただが)としましょう。そんな時、条件がそろえば奥歯の後に埋まっている親知らずを移植して、代わりの奥歯にできるのです。また、例えば下の親知らずが抜かれてなくなってしまっていても、上の親知らずが残っていれば、上から下に移植することも可能です。
移植の流れ

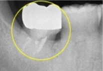
【術前口腔内写真】
右下の第2大臼歯の被せ物を除去したところ。
虫歯が進行し、保存は困難です。

【術前レントゲン写真】
根の周りの骨が溶け、芳賀前方に傾いてきています。

まず、右下第2大臼歯を抜歯しました。

上顎の親知らずを先ほど第2大臼歯を抜歯したところに移植しました。
年齢:57歳
性別:男性
治療期間:6ヵ月
副作用・リスク: 移植は成功率がとても高いですが、お口の中の状態によって変わります。骨の状態によっては出来ない場合があります。
素早く丁寧な処置が成功のカギ
移植自体はとても成功率が高い治療ですが、どんな治療でも100%とは言えず成功しない場合もあります。移植する歯の根っこが複雑な形をしていたり、そもそも大切な歯根膜が弱まっていたりする場合は成功する可能性が低くなります。
この移植の成功のカギを握るのが、上記にも出てきた歯根膜と言う歯の根を取り巻いている膜です。歯根膜は、歯に栄養を供給する役割やクッションのように噛んだときの衝撃を吸収したりします。この歯根膜が傷つけられたり、長時間放置してしまったりすると、移植後、歯に栄養がうまく行かず、失敗に終わってしまいます。
つまり、移植は歯根膜を痛めない丁寧さと、迅速な処置を求められる高度な治療といえます。
そのような高度な治療もA歯科なら可能です。スタッフの高い技術と徹底した滅菌。保険診療がメインの歯科医が、設備の整わない環境でやったところで成功するとはとても思えません。
親知らずはいらない歯、虫歯になっていないけど抜いておいたほうがいい、と言うような考えがまかり通っていますが、人の身体にムダなものなど一切ないのです。



