矯正
本来のお口の機能を取り戻す
矯正は見た目が良くなるのももちろんですが、重要なのはやはり、本来のお口の機能を取り戻せることです。普通に食べ物を噛めて飲み込めて、声もきちんと出せて、鼻から呼吸ができる事が何より大切です。
前歯だけを矯正するという治療例

上下の前歯に、大きな隙間があります。
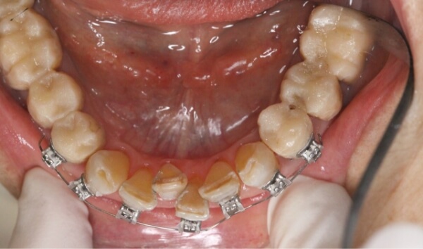
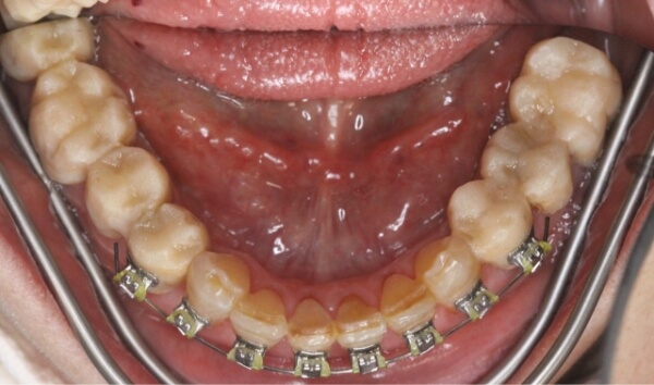
歯は削らずにブラケットを使用して、上下の前歯6本の隙間を閉じる治療を始めることになりました。

矯正装置(ワイヤーと審美ブラケット)をつけた当初は、少し痛みや違和感があったそうですが、歯が動き始めると痛みや違和感は次第になくなっていきました。
日々歯がキレイに並んでいく様子を見て患者様も喜びを感じ、治療を終えることができました。

約6ケ月間ブラケットを装着し、歯の隙間がほとんどなくなりました。
患者様も、たった6ケ月で「すきっ歯」が解消されたことにとても感動されており、心置き無く笑顔に慣れると喜んでいました。
メリット
- 見た目が良くなる
- 性格が明るくなる
- 虫歯になりにくくなる
- 長生きにつながる
- 歯ブラシがしやすくなる
デメリット
- 期間がかかる
- 費用がかかる
- 装置を付けないといけない
術前


術中


終期


保定





