冬が近付き、風のある日は寒気が身に染むようになりましたが、皆様お変わりなくお過ごしでしょうか?
今回は根管治療や再植について書きたいと思います。
当院に来院される患者さんの多くは『他院で抜くしかないと言われる歯をなんとか残して欲しい』と言う希望の元来られます。現在歯を失う大きな原因となっている3大原因は『虫歯、歯周病、破折』です。多くは虫歯や破折なのですがこう言った歯の場合の治療には根管治療が必要になることがほとんどです。根管治療とは簡単に言うと、『ラバーダム』(写真1)と言われるゴムのカバーを歯に取り付け、根っこの中にある汚れを隅々まで取り、できる限り無菌に近い状態にして最後に蓋をする、と言う一連の流れになります。そしてその際に根っこの中にヒビが見つかったり根っこの中からのお掃除では綺麗になりきらず治癒しない場合は再植と言う治療になります。再植は『一回歯を抜いてお口の外でその歯を治療し再びお口の中に戻す』と言うものです。(写真2)『抜いた歯を再び植える』と言うことで再植と言う名がついています、他の方法で違う場所から歯を持ってきて(移動してきて)植える事を『移植』と呼んだりしてます。こちらの移植の方が臓器等、医科の分野でも使われる技術なので皆様には馴染みがあるかもしれませんね。


そしてこの再植と言う治療に入ると歯を一旦抜くことによって一時的に歯は弱まるのでしっかり休めなければなりません、期間はその歯の状態や個々の回復の差によりますが基本的には4ヶ月程休ませてあげます。その4ヶ月の間歯は噛ませることなくそっとしておくのですがその待っている間に『土台』を建てます。(写真3)この土台に関しては当会の会報誌でもまだ説明したことがないのでいずれ紹介しようと思っています。この土台の治療とは根っこの治療が終わった歯にするもので根っこに再度菌が入り込みにくくする、歯を割れにくくする、などの意味があります。

4ヶ月の後、歯がしっかり骨の中に根付いて安定してきたら、次は『仮歯』です。仮歯は本歯に移る前の大事なステップで少しずつ噛ませていく『リハビリ』の段階に入ります。当然他の歯と同じ様にしっかり力強く噛ませるわけではなく弱い力で慣れていく、と言った感じになります。このリハビリは足の骨折のそれと同じ様に『使うことによって回復が促される』と言った効果もあるのでとても大切なステップになります。
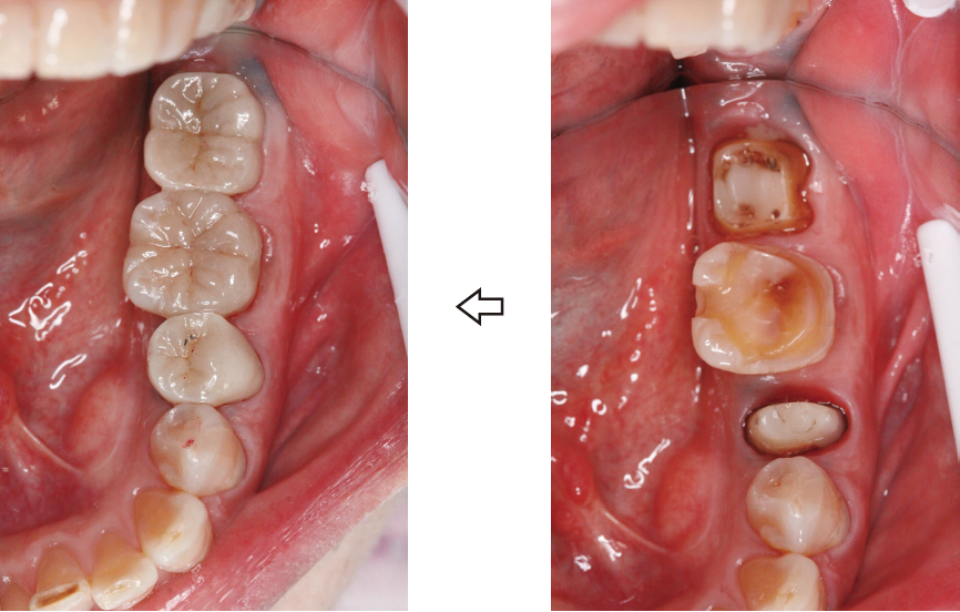
この治療を経て、再植終了から6ヶ月程で問題ないと判断したら最終的な本歯になります。(写真4)

ここまで来ると治療は終わったと一段落つきたいところですが、むしろ大切なのはこれからです。治療になった歯は何しろ他院で抜かなければならないとまで言われた歯ですからその後のケアも疎かにしてしまうとすぐダメになってしまう可能性があります。最初の段階でお話しした様に歯を失う三大要因は『虫歯、歯周病、破折』とお話しいたしました。この三つの要因から治療後も歯を守る為に重要なことをお伝えしたいと思います。一つはやはり『歯ブラシによるケア』です。汚れが溜まる事によって歯周病や虫歯になってしまいますからそれをまず予防していくことが大切です。どんなに頑張って治療して残せた歯でそこに最良の被せ物をしたとしても歯周病によって歯を支える骨がダメになってしまったり、中の患者さんご自身の歯が虫歯になってしまったとなれば元の木阿弥です。もう一つは『食事』です、これは『虫歯と破折』に関係してくる事ですがやはり甘い物(糖分を多く含むもの)は歯ブラシをどんなに頑張っていても虫歯になるリスクは高くなってしまいます。(虫歯に関する事に関しては次回会報誌で取り上げたいと思いますので楽しみにしていてください!)そして破折についてですが、これは硬い物を嗜好される患者さんは元々その硬いものをバリバリ噛んでその力で歯を割ってしまっている可能性があるので出来る限り気をつけていただきたいです。夜に歯軋りや食いしばりの傾向のある患者さんはマウスピースを入れて不用意な力から歯を守っていきましょう!
以上が当院にて根管治療から再植になった際の治療の流れです。何よりも治療が終わった後のケアに関しては患者さん主体となりますが、私たちも検診で良い状態を維持できる様に確認をし、一緒に守っていきたいと思います。何か気になる点があればいつでも当院スタッフにお聞きください!



