この記事は「口腔ケアの時の補助具について」を取り上げた第二弾です。
第一弾の「口腔ケアの時の補助具について①」はコチラ
第三弾の「口腔ケアの時の補助具について③ -歯間ブラシの上手な使いかた-」はコチラ
第四弾の「口腔ケアの時の補助具について④ -デンタルフロスについて-」はコチラ
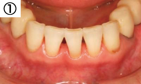
写真①の様に、大きな隙間がある方や、②のブリッジの部分や、③の連結した被せ物の歯には上からデンタルフロスが入りませんので、大きさに合った歯間ブラシでの清掃をお勧めします。歯間ブラシには4SからLLサイズまであり、形態もL字型やI字型(ストレートタイプ)、先端が毛ではなくてシリコンタイプの物もあります。
♦注意点は、歯の隙間の大きさは部位によって異なります。同じサイズで全ての隙間に歯間ブラシを通しては、清掃効果が少ない、逆に歯や歯肉を傷付けてしまう原因になります。ですから、これから歯間ブラシを使って見ようと思われる方、又、すでに歯間ブラシをお使いの方でも「以前より食べ物が挟まるなぁ…」「通りにくいなぁ…」と感じる方は一度ご相談下さい。






